मौत के अलावा भी कोरोना के कई घातक प्रभाव, सरकारों के लिए एक अबूझ पहेली बना वायरस
अब तक कोरोना से ठीक हुए मरीजों में थकान, सांस की दिक्कत, कमजोरी, किडनी पर असर, मनोवैज्ञानिक रोग और याददाश्त में कमी की बात की जाती थी, पर अब मस्तिष्क की गंभीर बीमारियों के खतरे भी सामने आए हैं। ये प्रभाव तथाकथित माइल्ड इन्फेक्शन वाले मरीजों पर पड़ सकते हैं।

हाल में इंग्लैंड के अनेक शोध संस्थाओं और विश्वविद्यालयों के वैज्ञानिकों ने कोविड 19 को मात दे चुके व्यक्तियों से शरीर में पनपे एंटीबॉडीज का विश्लेषण किया है। जब शरीर पर किसी रोग का हमला होता है तब उससे निपटने के लिए शरीर में एंटीबॉडीज उत्पन्न होते हैं। फिर जब तक एंटीबॉडीज शरीर में पर्याप्त मात्रा में रहते हैं, तब तक वह रोग दोबारा होने की संभावना कम रहती है।
इन वैज्ञानिकों के अनुसार कोविड 19 से संक्रमण की अवस्था में संक्रमण के तीन सप्ताह के भीतर शरीर में पर्याप्त एंटीबॉडीज बन जाते हैं, पर अधिकतर मामलों में इसके बाद इसमें कमी आने लगती है। तीन महीने बाद इनमें इतनी गिरावट हो सकती है कि जांच में एंटीबॉडीज को खोज पाना भी कठिन हो जाता है। लंदन स्थित किंग्स कॉलेज की विशेषज्ञ डॉ केटी डूरेस के अनुसार, “जाहिर है, एंटीबॉडीज कम होने पर कोविड-19 का असर दोबारा भी हो सकता है। बहुत संभव है कि कुछ लोगों को यह हर साल होने लगे।
इस शोध का असर कोविड-19 की वैक्सीन की खोज पर भी पड़ना तय है। अभी तक लगभग हरेक जगह, जहां भी वैक्सीन की खोज का काम किया जा रहा है, हरेक जगह वैक्सीन के केवल एक बार इस्तेमाल से जीवनपर्यंत सुरक्षा की बात की जा रही है। पर, इस अनुसंधान के अनुसार तो एक बार लगी वैक्सीन का असर तीन महीने बाद समाप्त होने लगेगा और बार-बार इसके बूस्टर डोज की जरूरत होगी।
कोविड-19 के आने के 6 महीने बाद भी इसके बारे में बहुत कुछ अभी जानना बाकी है, यह हालात तब हैं, जब लगातार पूरी दुनिया के अनुसंधान संस्थानों में एक साथ इस पर तरह-तरह के अनुसंधान किये जा रहे हैं। पर, परेशानी यह है कि अधिकतर अनुसंधान इसके टीके या दवा से संबंधित हैं। इसकी उत्पत्ति से भी जुड़े बहुत सारे तथ्य हैं, जिनके बारे में किसी को जानकारी नहीं है।
इसके प्रसार के बारे में भी नए-नए तथ्य सामने आते रहते हैं। जैसे अब इसके हवा में प्रसार को भी मान्यता दी जा रही ह। फेस मास्क से जुड़े तथ्य भी अनेक बार बदल चुके हैं। इतना भ्रम कोविड 19 के सन्दर्भ में इसलिए भी है, क्योंकि यह पहली वैश्विक महामारी है, जिसमें सारे निर्णय राजनेता ले रहे हैं और स्वास्थ्य विशेषज्ञों और वैज्ञानिकों को निर्णय वाले स्तर से हटा दिया गया है।
हमारे देश का उदाहरण सबके सामने है। हमारे देश में केंद्रीय स्वास्थ्य मंत्री स्वयं पेशेवर चिकित्सक हैं, पर कभी भी कोविड-19 की वैज्ञानिक विवेचना नहीं करते और केवल वही बताते हैं जो सरकार चाहती है। हमारा देश कोविड-19 के मामलों में दुनिया में तीसरे स्थान पर और कुल मौतों के सन्दर्भ में आठवें स्थान पर पहुंच गया है, इससे आगे केवल अमेरिका और ब्राजील हैं।
ये तीनों ही देश ऐसे हैं, जिसमें वैज्ञानिकों और स्वास्थ्य विशेषज्ञों को दरकिनार कर मोर्चा राजनीतिक हाथों में चला गया है। कोई इसे सामान्य फ्लू बताता है, कोई इसे पत्रकारों के दिमाग की उपज कहता है तो कोई इसे हाइड्रोक्सीक्लोरोक्विन से ठीक कर रहा है, कोई काढा पिला रहा है।
हमारा देश तो इसके भ्रामक प्रचार में और भी आगे है। सरकार कहती है- दस लाख से अधिक मामलों के बाद भी देश में कोविड-19 का कम्युनिटी स्प्रेड नहीं हुआ है और हमने कोविड-19 को रोकने में सराहनीय कार्य किया है। एक और तथ्य कोविड-19 के सन्दर्भ में देश में तेजी से प्रचारित किया जा रहा है- हमारे देश में गंभीर इन्फेक्शन की तुलना में माइल्ड इन्फेक्शन अधिक है। यह ऐसे बताया जाता है मानो इस इन्फेक्शन के कोई खतरे ही नहीं हैं।
अब इंग्लैंड के वैज्ञानिकों ने बताया है कि कोविड-19 के माइल्ड इन्फेक्शन से मौत के आंकड़े भले ही कम हो जाते हैं, पर ऐसे मरीजों को मष्तिष्क की भयानक और कुछ हद तक जानलेवा बीमारियों से जिन्दगी भर जूझना पड़ सकता है। इसके पहले बताया गया था कि कोरोना से ठीक हुए मरीजों में इतना आलस्य भर जाता है कि वे अपना सामान्य काम भी ठीक से नहीं कर पाते। दूसरे अध्ययन से स्पष्ट होता है कि कोविड-19 को मात देने वाले मरीजों के फेफड़े अपना सामान्य काम नहीं करते। पर, हाल में ही ब्रेन नामक जर्नल में प्रकाशित शोधपत्र के अनुसार सामान्य इन्फेक्शन से ठीक हुए व्यक्तियों के मस्तिष्क भी सामान्य व्यवहार नहीं करते।
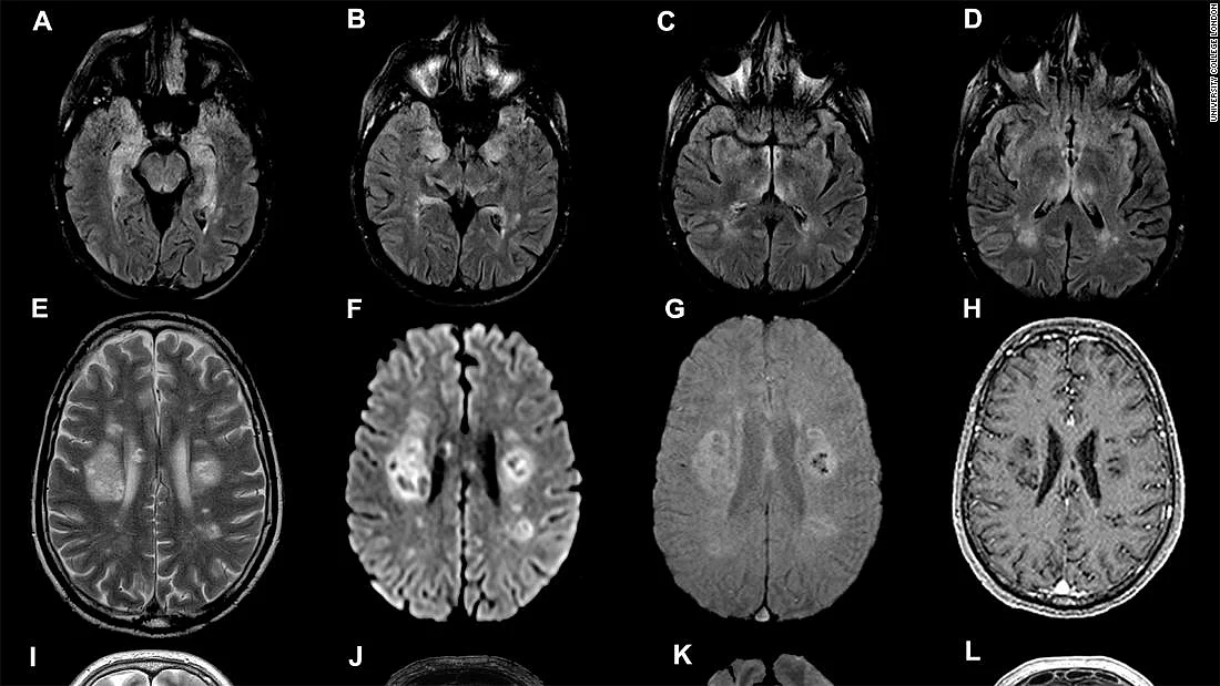
इस अध्ययन के अनुसार, सामान्य इन्फेक्शन की अवस्था में या कोविड 19 के बाद ठीक हुए मरीजों के मस्तिष्क में गंभीर और यहां तक कि जानलेवा बीमारियां भी हो सकती हैं। इस अध्ययन के लिए इंग्लैंड में 40 मरीजों के मस्तिष्क का गहन अध्ययन किया गया। इनके मस्तिष्क में सूजन पाई गई, तंत्रिका तंत्र भी प्रभावित हुआ और कुछ को ब्रेन स्ट्रोक का भी सामना करना पड़ा। अनेक मामलों में मस्तिष्क और तंत्रिका तंत्र की समस्याएं ही अकेली समस्या थी, जिसके कारण या मरीज अस्पताल गए थे और जांच में कोविड 19 का पता चला।
वैज्ञानिकों के अनुसार, इस कोविड 19 के दौर में मस्तिष्क की एक गंभीर समस्या, एक्यूट डिसेमिनेटेड एन्सेफलोमाइलाइटीस, उभर कर सामने आई है और इसके मामले बढ़ते जा रहे हैं। विशेषज्ञों के अनुसार इंग्लैंड के यूनिवर्सिटी कॉलेज ऑफ लन्दन के इंस्टीट्यूट ऑफ न्यूरोलॉजी में इस वैश्विक महामारी के दौर के पहले औसतन महीने में एक मरीज इसका इलाज कराने आता था, पर महामारी के दौर में यह संख्या सप्ताह में तीन मरीज तक पहुंच गई है। यह एक जटिल बीमारी है और जानलेवा भी हो सकती है। एक 59 वर्षीय महिला की इलाज के दौरान मृत्यु हो चुकी है, एक 55 वर्षीय महिला को गंभीर मनोवैज्ञानिक समस्याएं उत्पन्न हो गयीं हैं और तीसरी महिला जिसकी उम्र 47 वर्ष है, उसके मस्तिष्क में भयानक सूजन आ गई है।
कोविड 19 के जिन 40 मरीजों के मस्तिष्क की गहन जांच की गई, उनमें से एक दर्जन से अधिक के सेंट्रल नर्वस सिस्टम में सूजन पाई गई, 10 को मस्तिष्क की बीमारियां हो गई थीं, 8 को ब्रेन स्ट्रोक का सामना करना पड़ा और 8 को पेरिफेरल नर्वस सिस्टम में समस्या उत्पन्न हो गई, जिससे लकवा हो सकता है और 5 प्रतिशत से अधिक मामलों में यह समस्या जानलेवा भी हो सकती है। इस अध्ययन के प्रमुख माइकल जंडी के अनुसार मस्तिष्क पर ऐसा पहले किसी वायरस का प्रभाव नहीं देखा गया। कोविड-19 के बाद ठीक हुए मरीज को सम्भवतः जीवन पर्यंत मस्तिष्क की गंभीर बीमारियों से जूझना पड़ सकता है, जिसमें घातक मल्टीपल स्क्लेरोसिस भी शामिल है।
अब तक कोविड 19 से ठीक हुए मरीजों में आलस्य, थकान, सांस की दिक्कत, कमजोरी, किडनी पर प्रभाव, मनोवैज्ञानिक रोग और याददाश्त में कमी की ही बात की जाती थी, पर अब मस्तिष्क की गंभीर बीमारियों से भी सावधान रहना पड़ेगा। यह सब प्रभाव तथाकथित माइल्ड इन्फेक्शन वाले मरीजों पर पड़ सकते हैं। गंभीर मरीजो को लम्बे समय तक आईसीयू में रहना पड़ सकता है या फिर मैकेनिकल वेंटीलेटर्स के सहारे रहना पड़ सकता है। मैकेनिकल वेंटीलेटर्स से बैक्टीरिया के इन्फेक्शन, अल्सर और दूसरे घातक प्रभाव पड़ सकते हैं।
हमारी सरकार जिस माइल्ड इन्फेक्शन पर अपनी पीठ थपथपा रही है, संभव है उसके प्रभाव से हम लम्बे समय तक जूझते रहें। सरकारों को यह भी समझाना पड़ेगा कि जिस रिकवरी रेट की चर्चा पर हम इतराते हैं, वाकई क्या वह आंकड़ा सही है, क्योंकि एक बीमारी के कई प्रभाव हैं और हम केवल एक प्रभाव को ठीक कर रहे हैं। बाकी सारे प्रभाव आपको जीवनपर्यंत भुगतने पड़ सकते हैं।
Google न्यूज़, नवजीवन फेसबुक पेज और नवजीवन ट्विटर हैंडल पर जुड़ें
प्रिय पाठकों हमारे टेलीग्राम (Telegram) चैनल से जुड़िए और पल-पल की ताज़ा खबरें पाइए, यहां क्लिक करें @navjivanindia